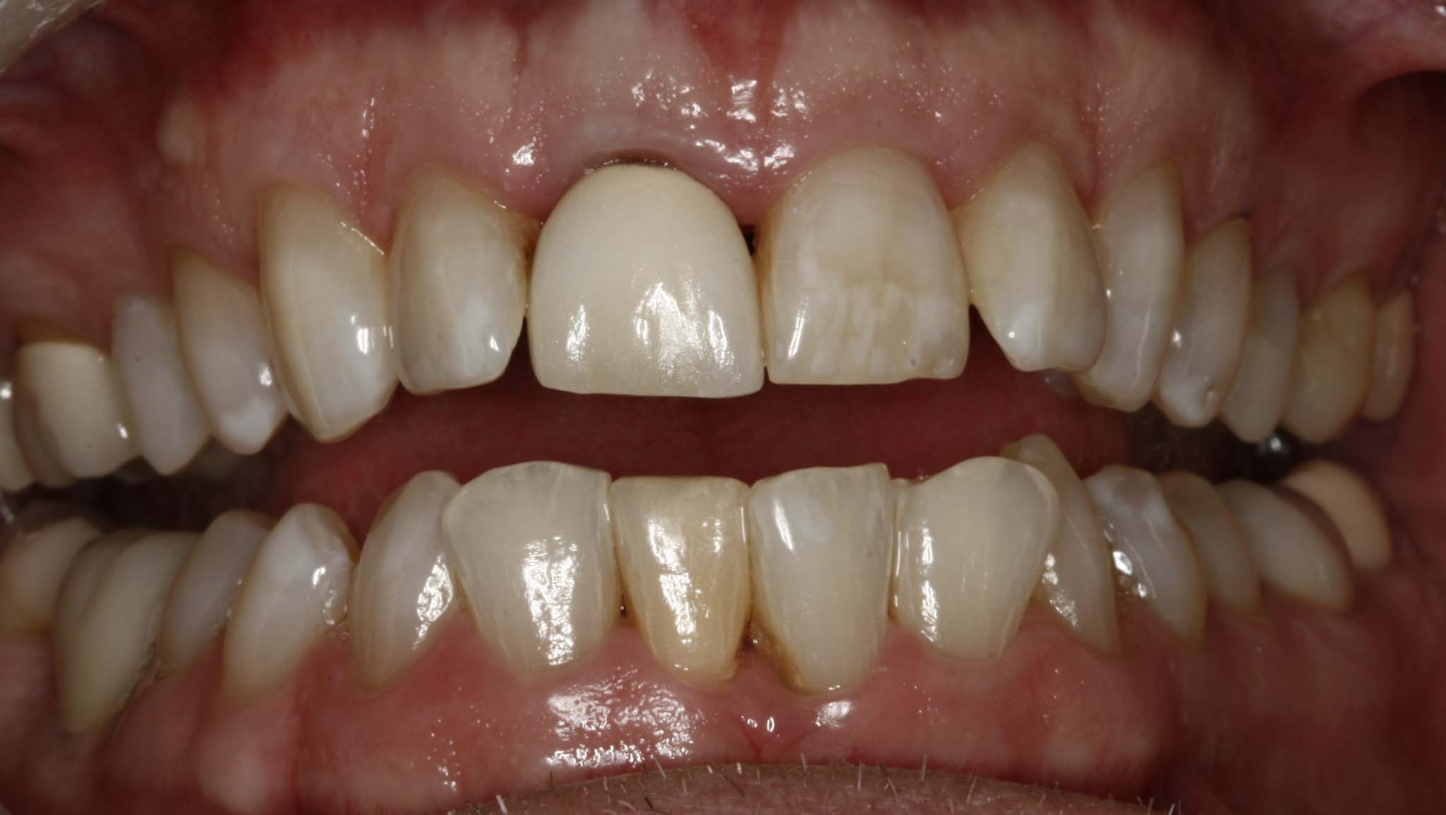
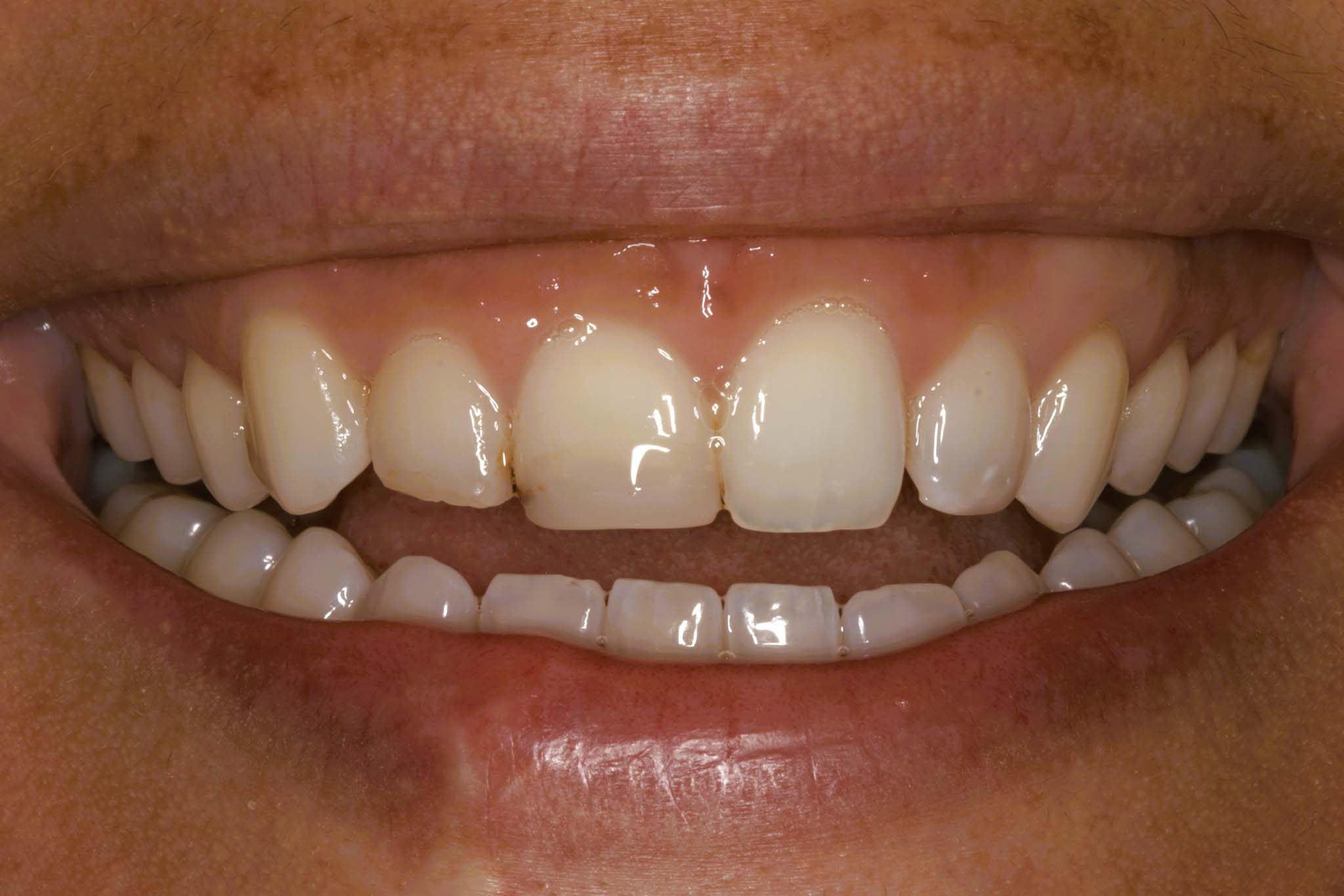
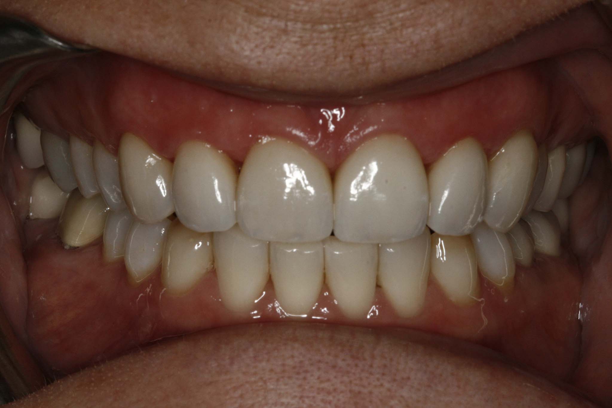
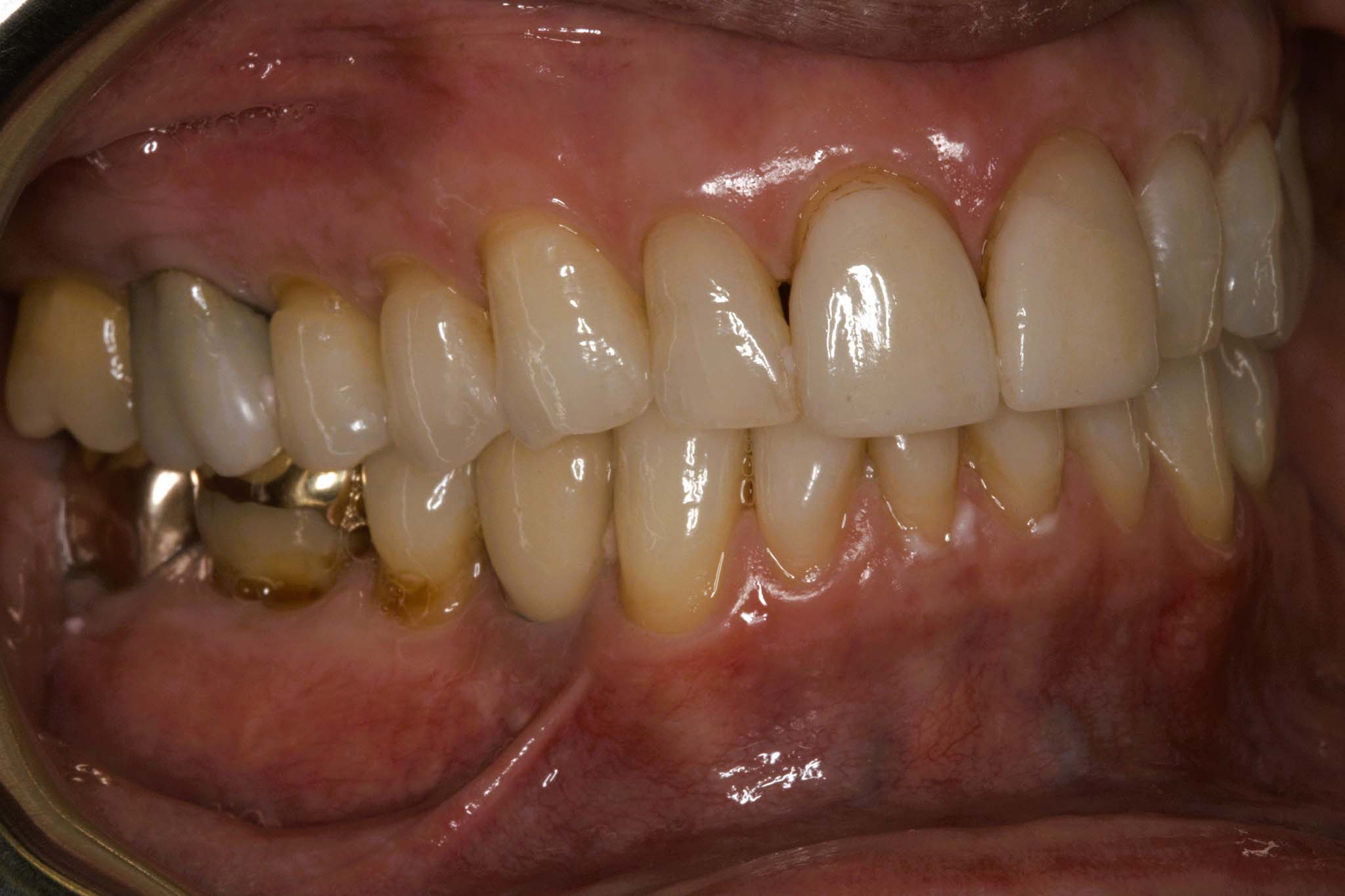
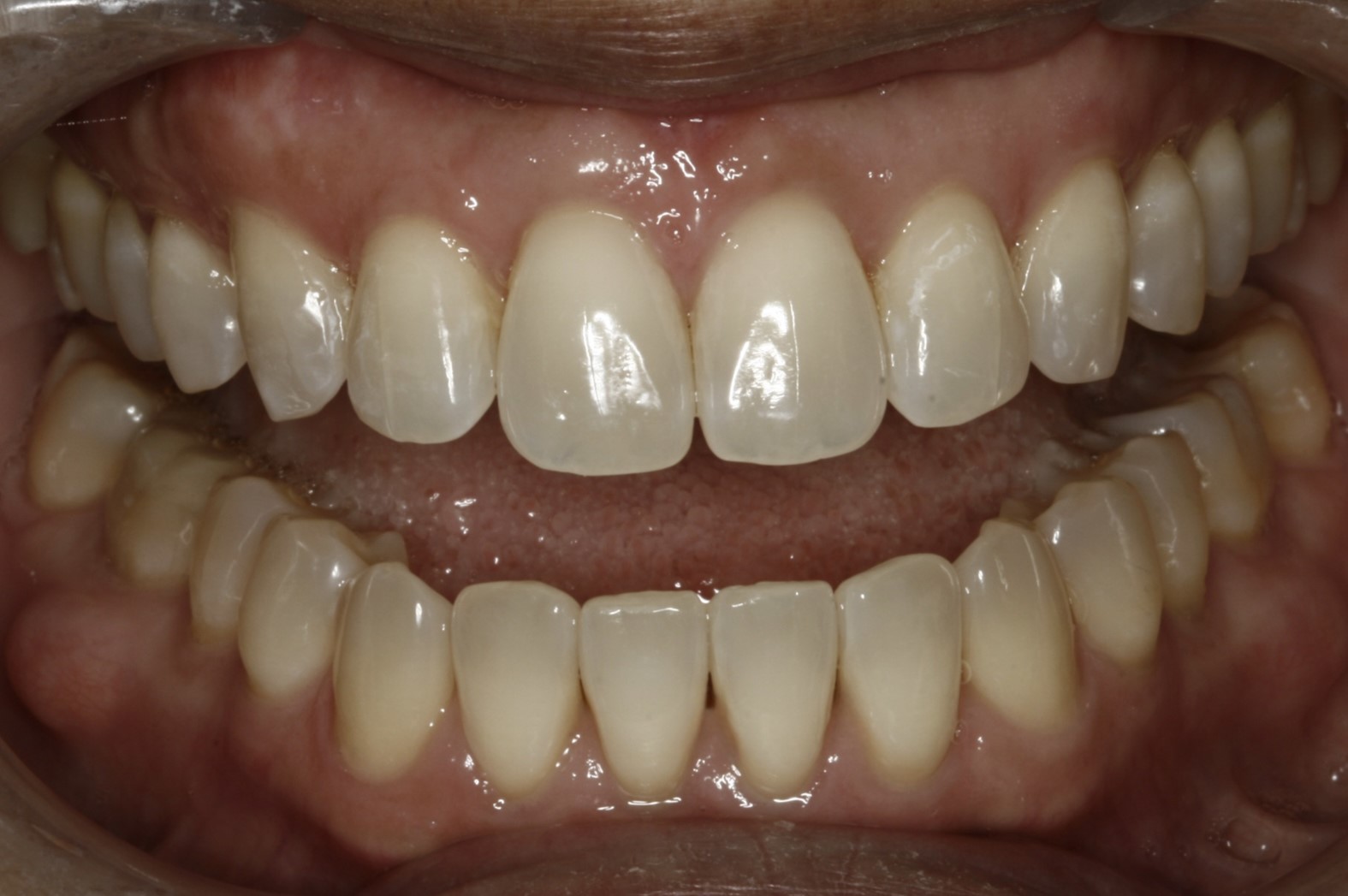
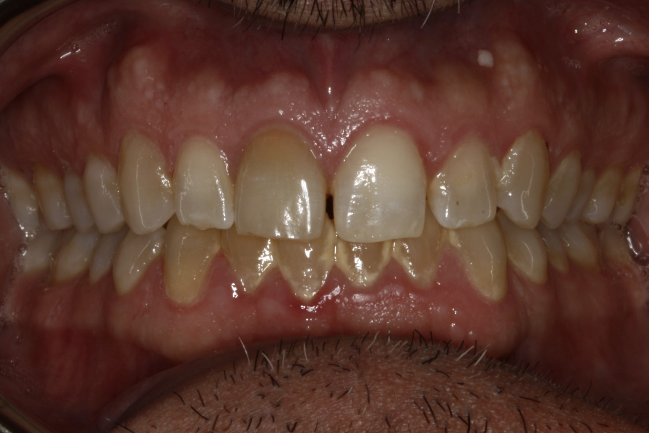
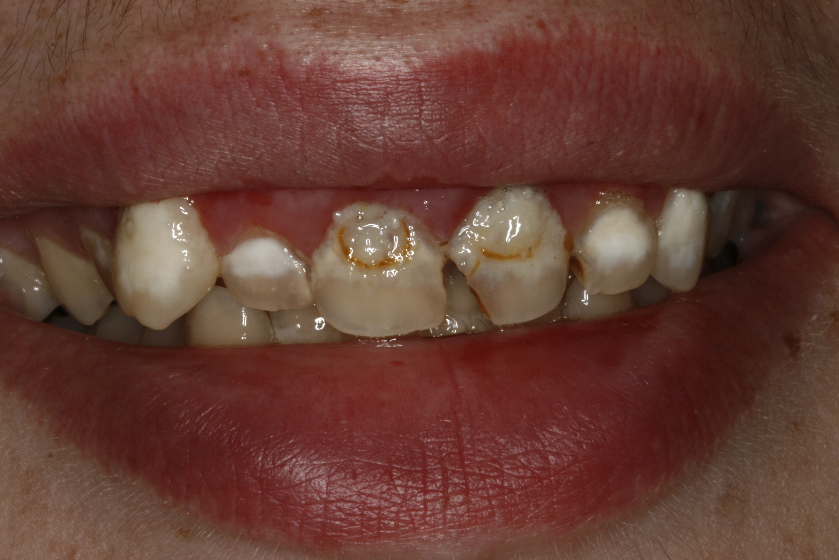
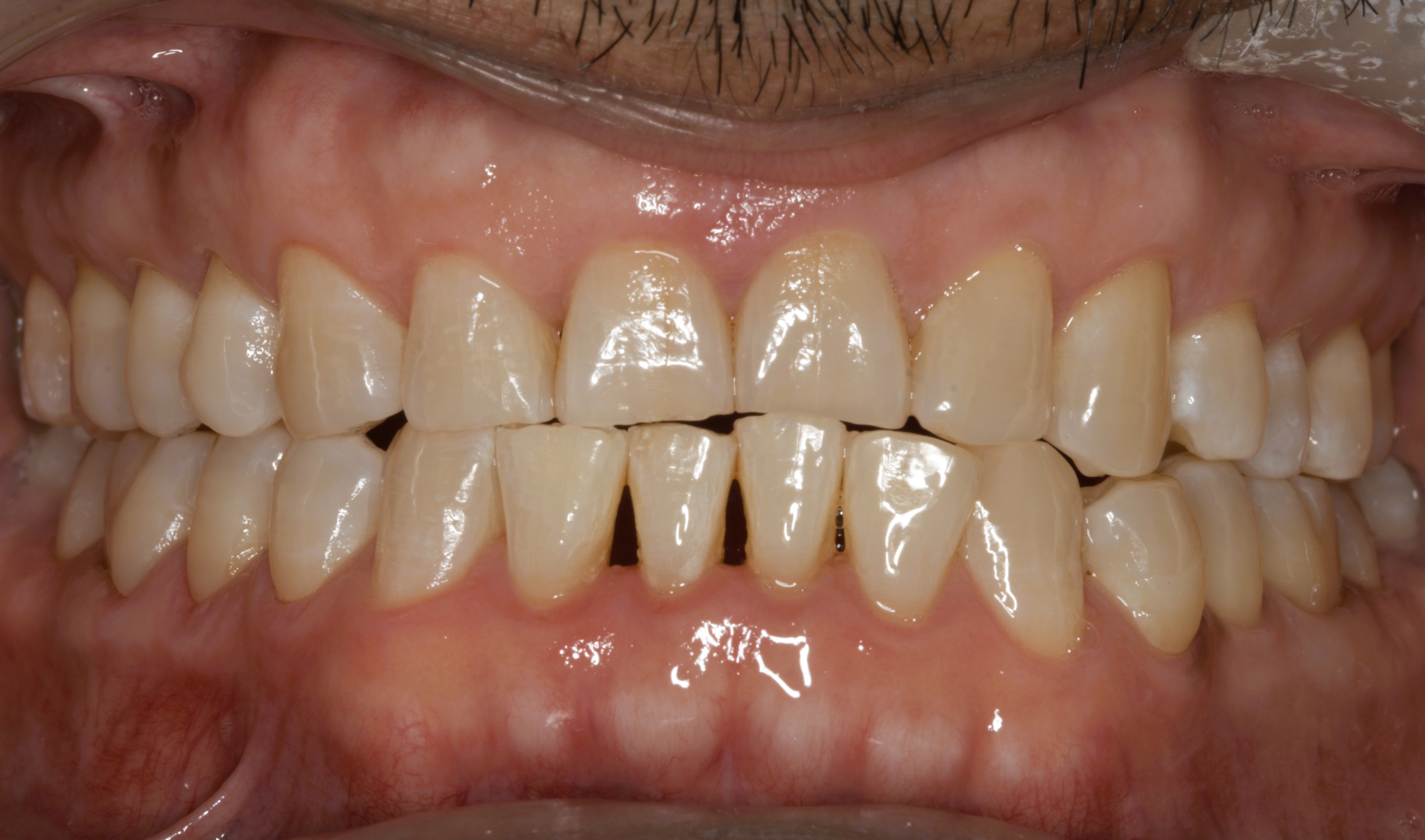
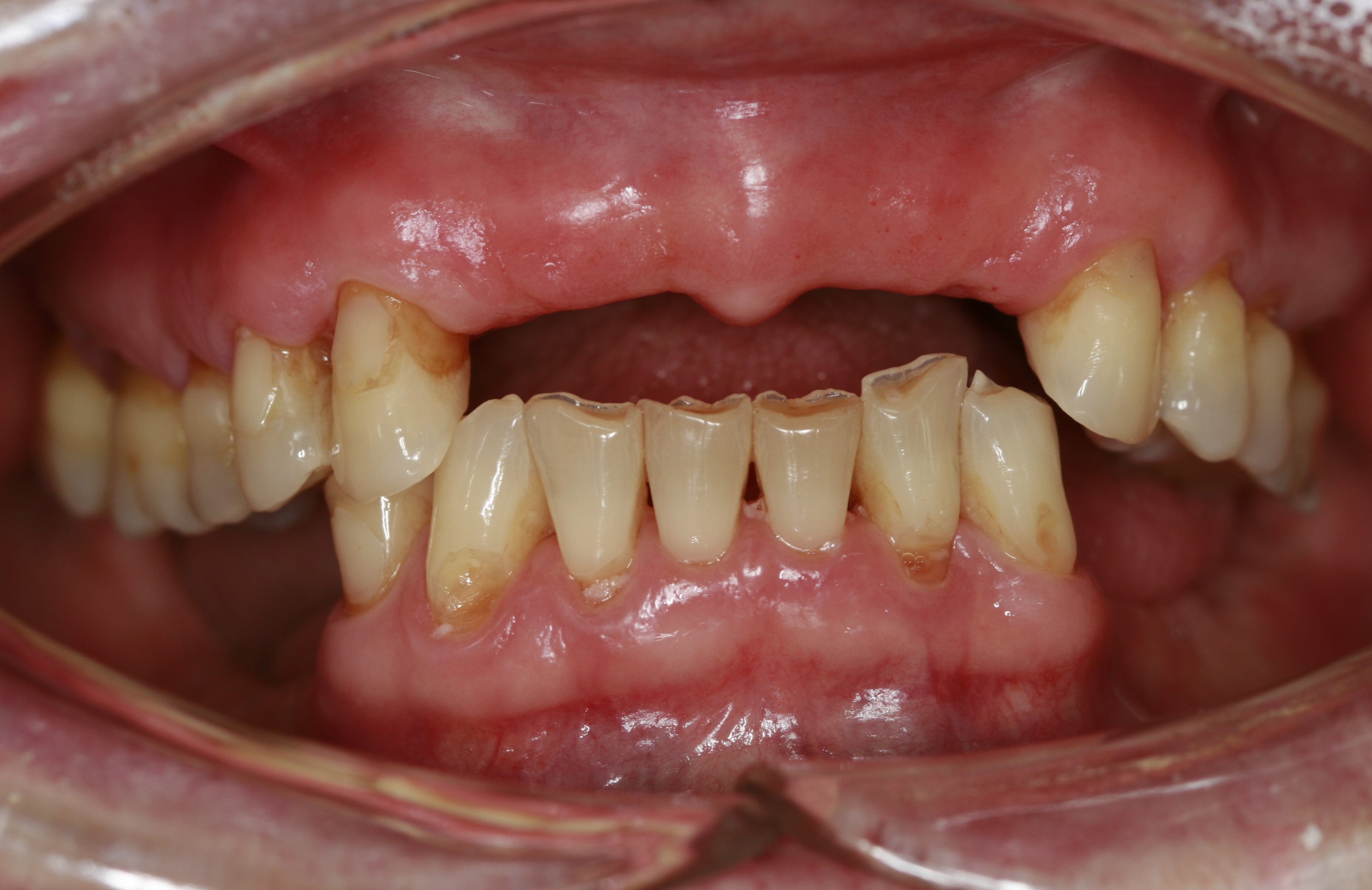
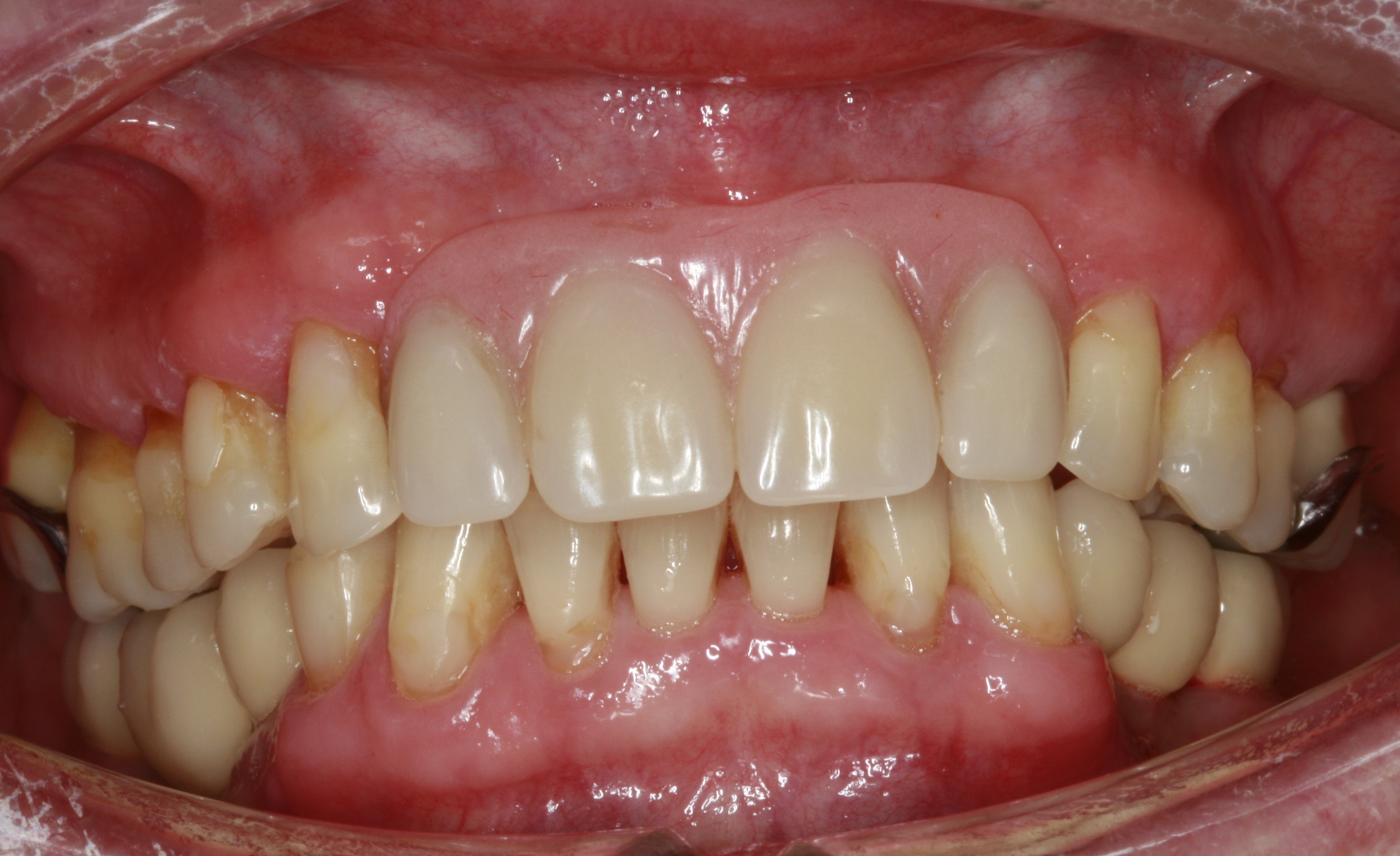
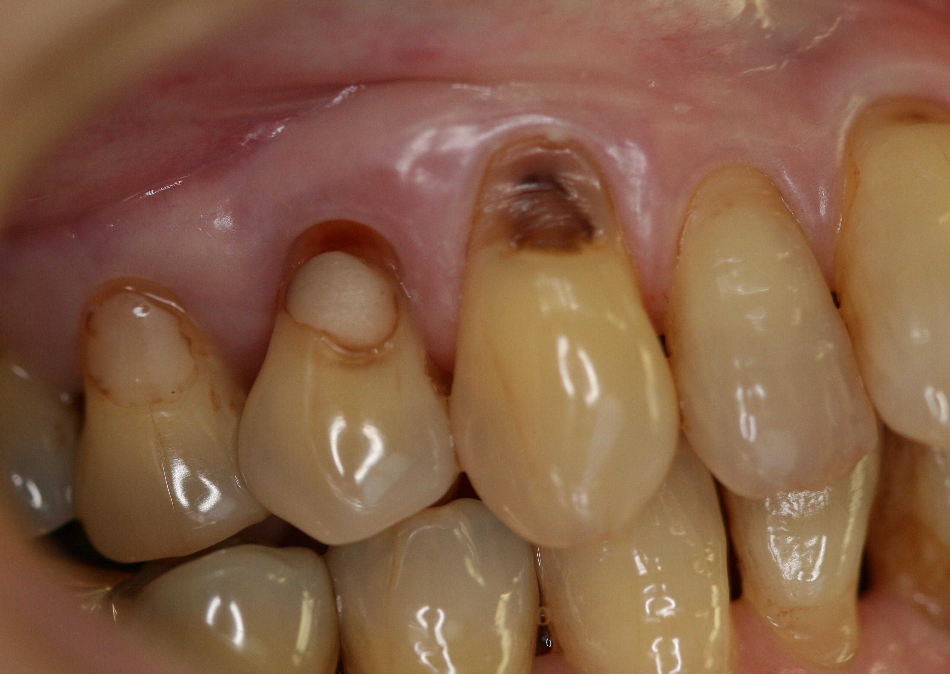
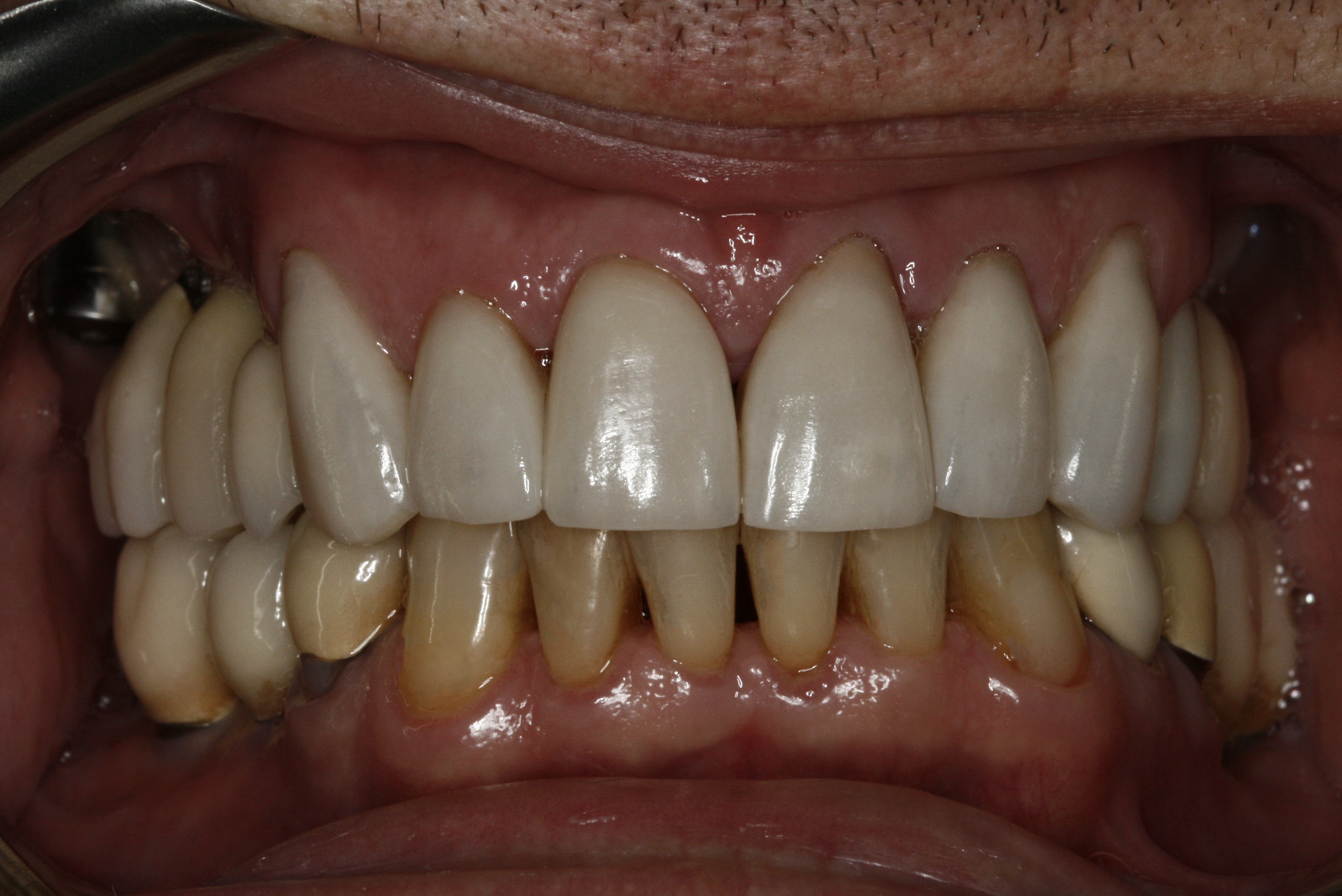
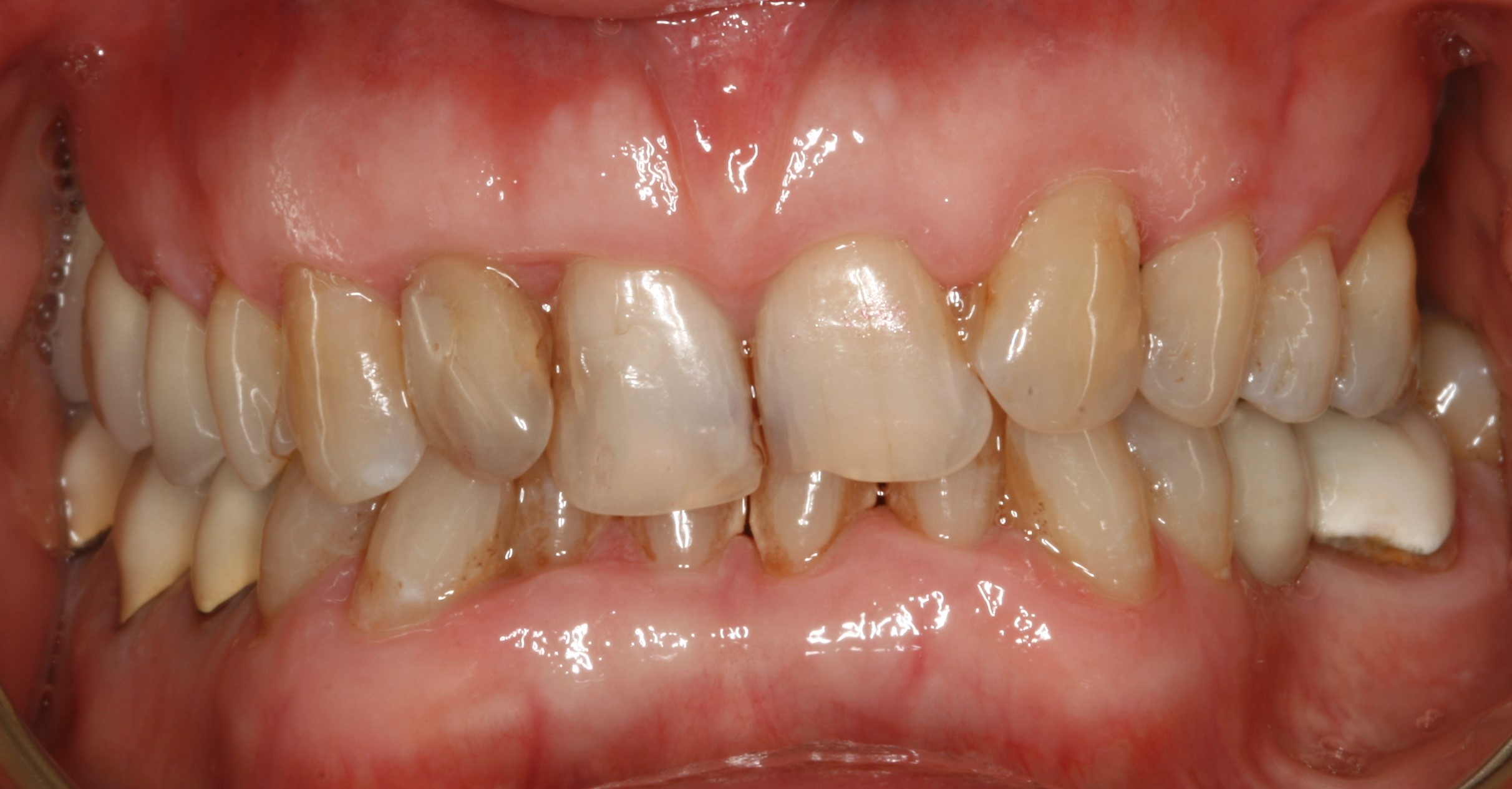
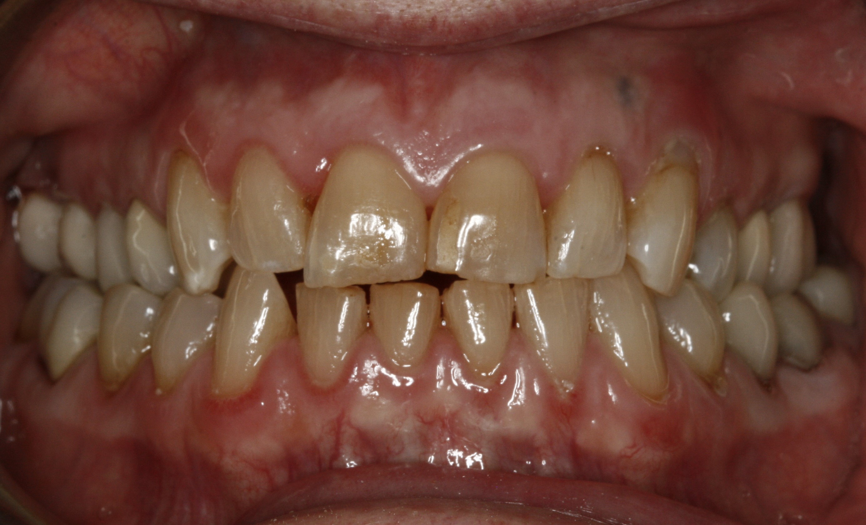
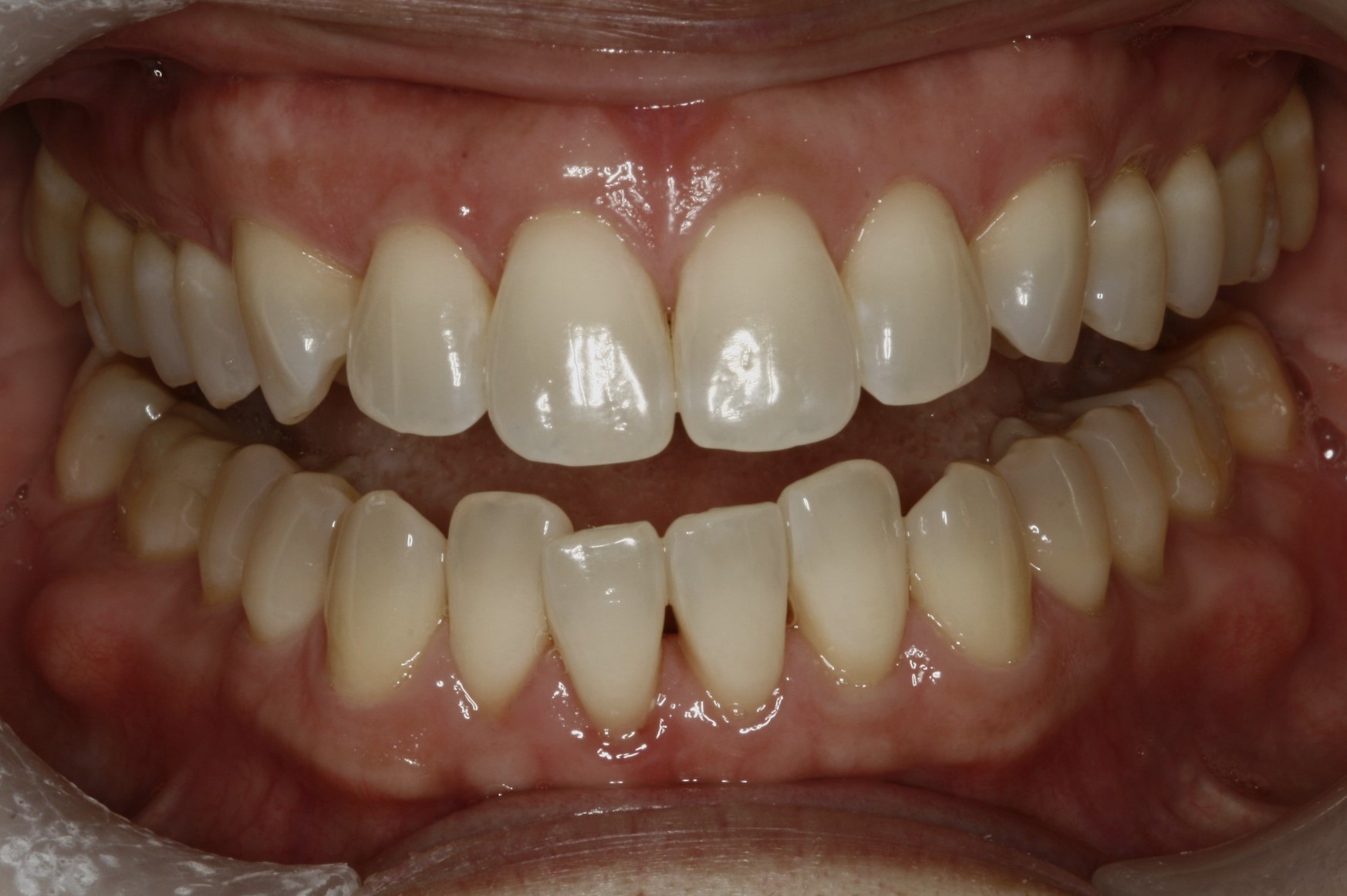
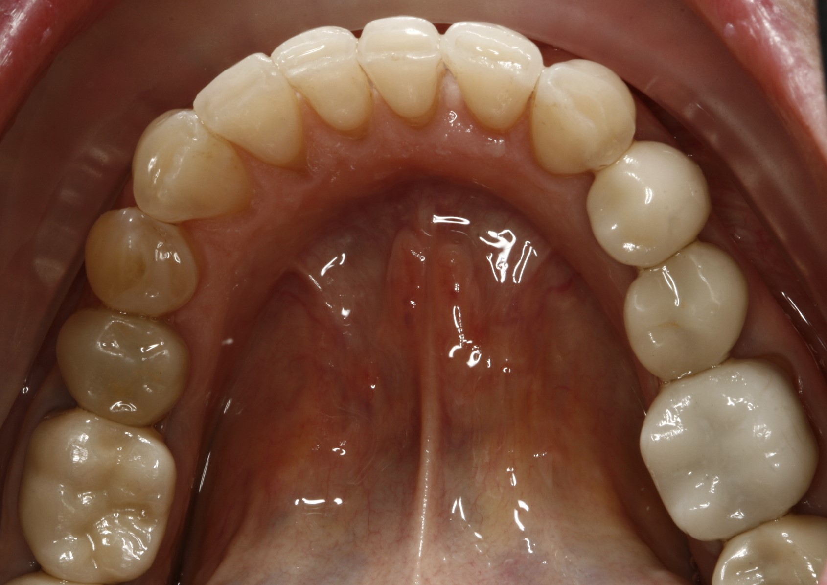
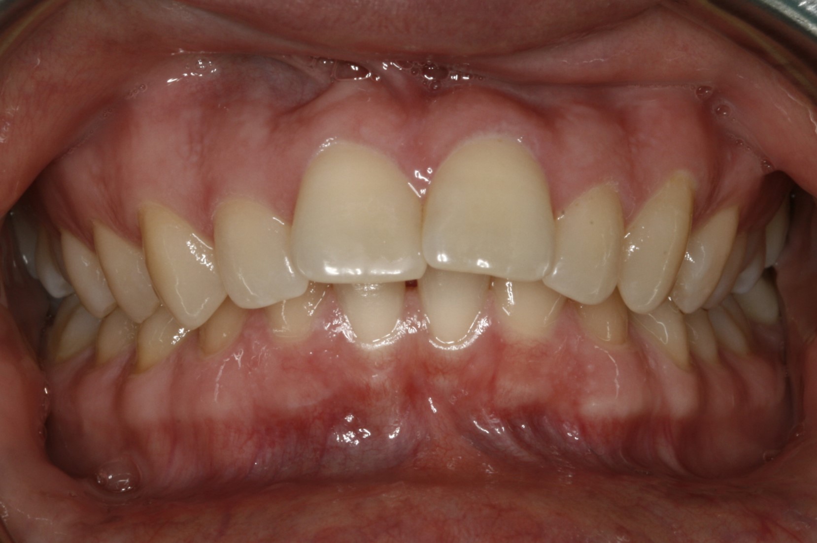
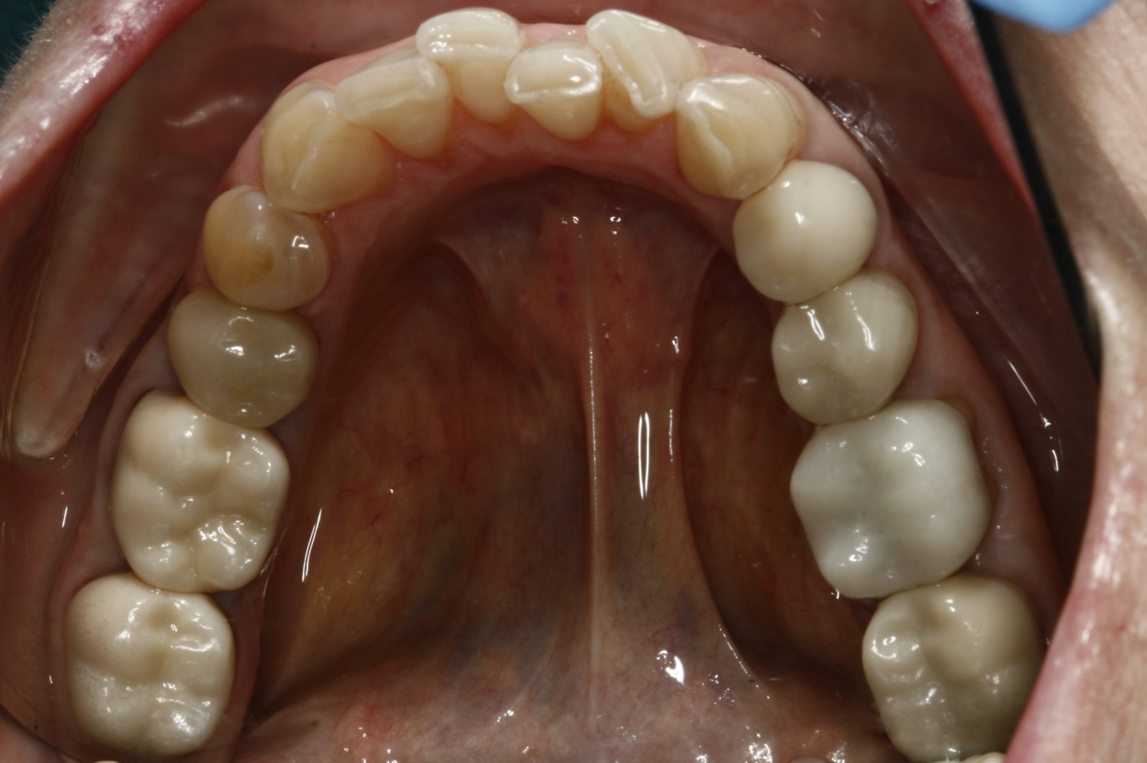
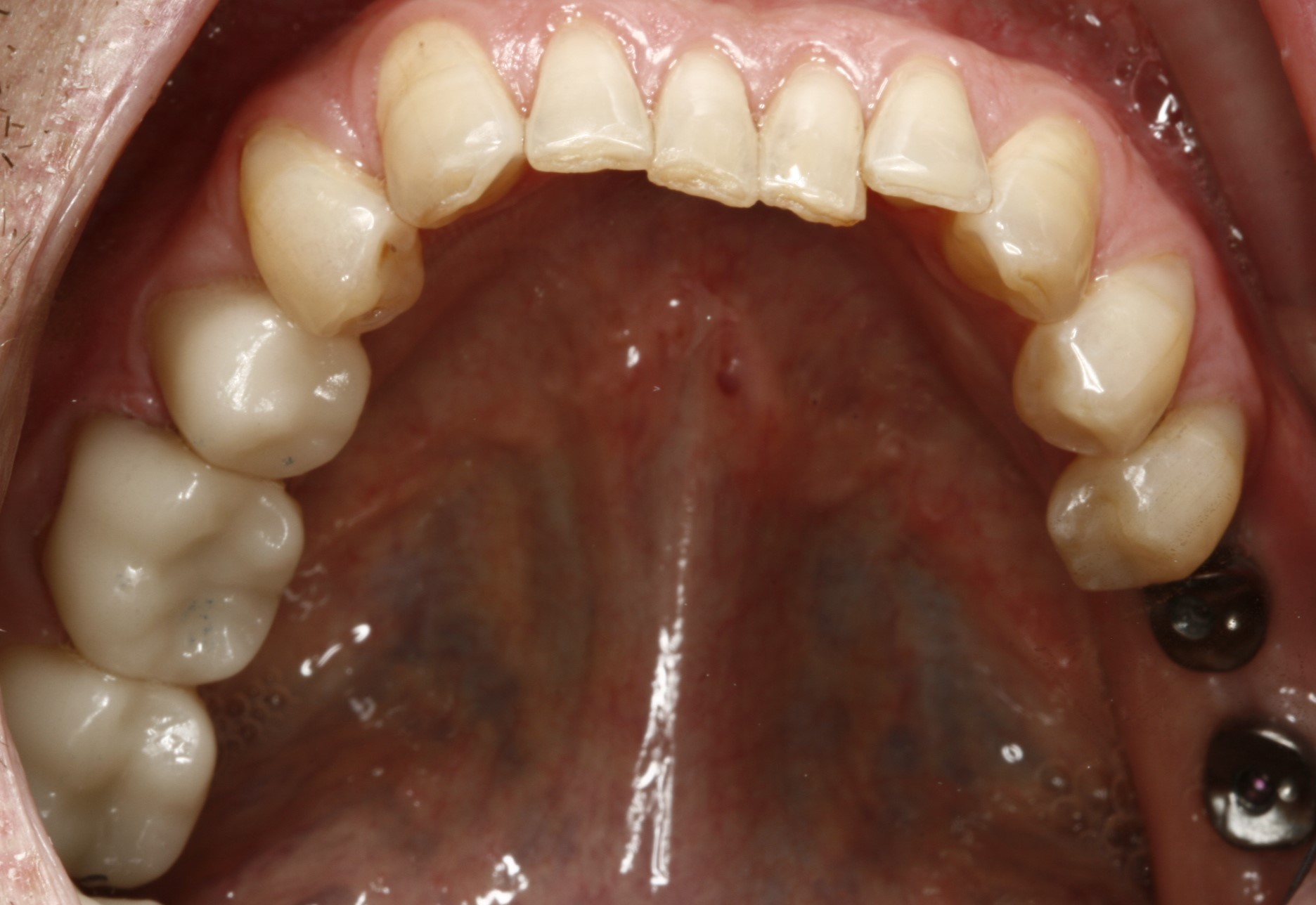
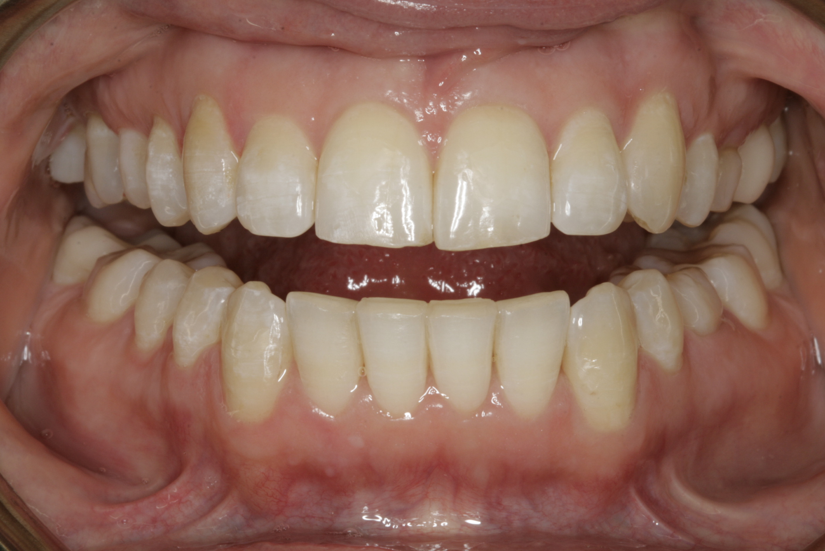
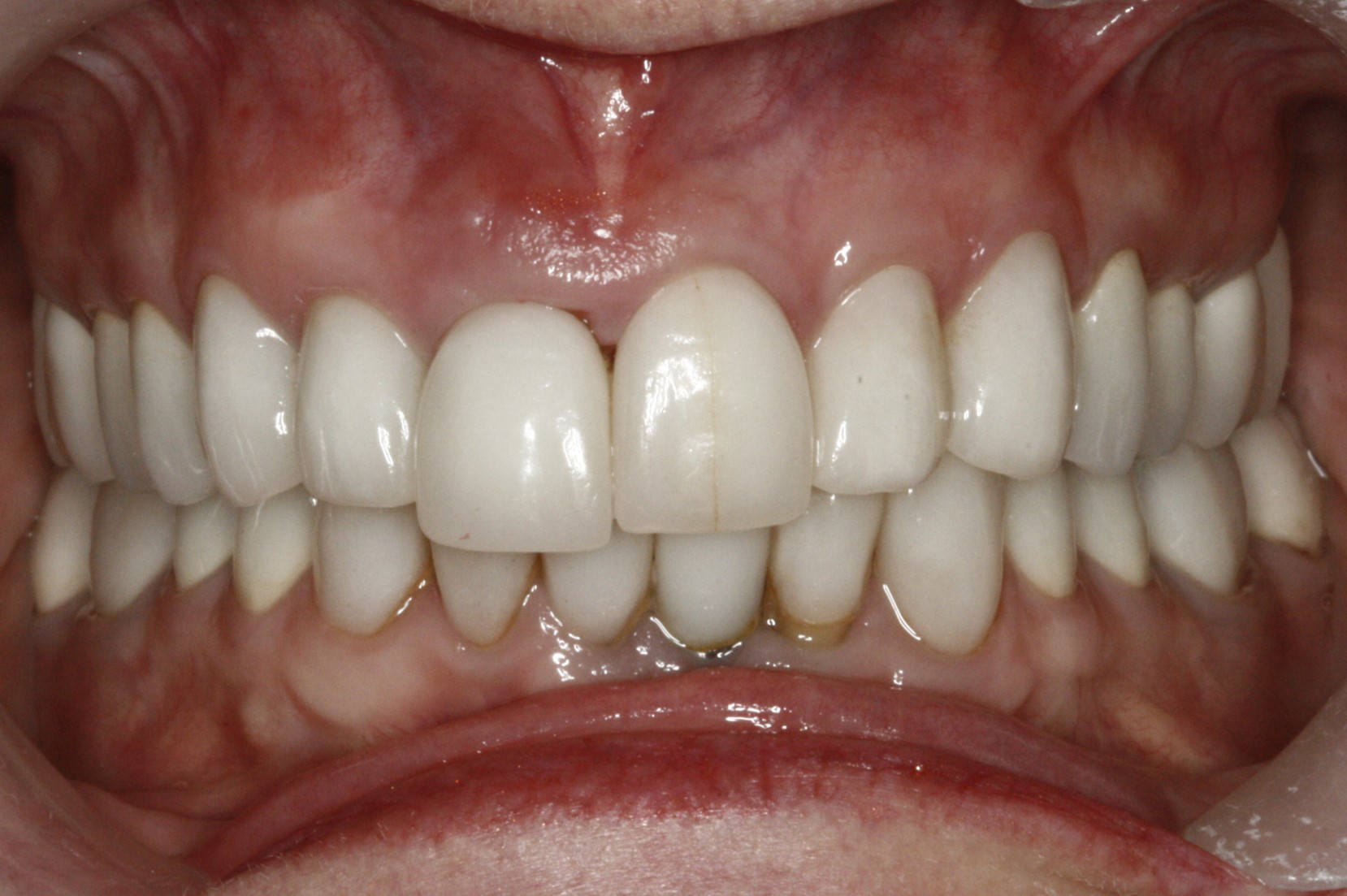
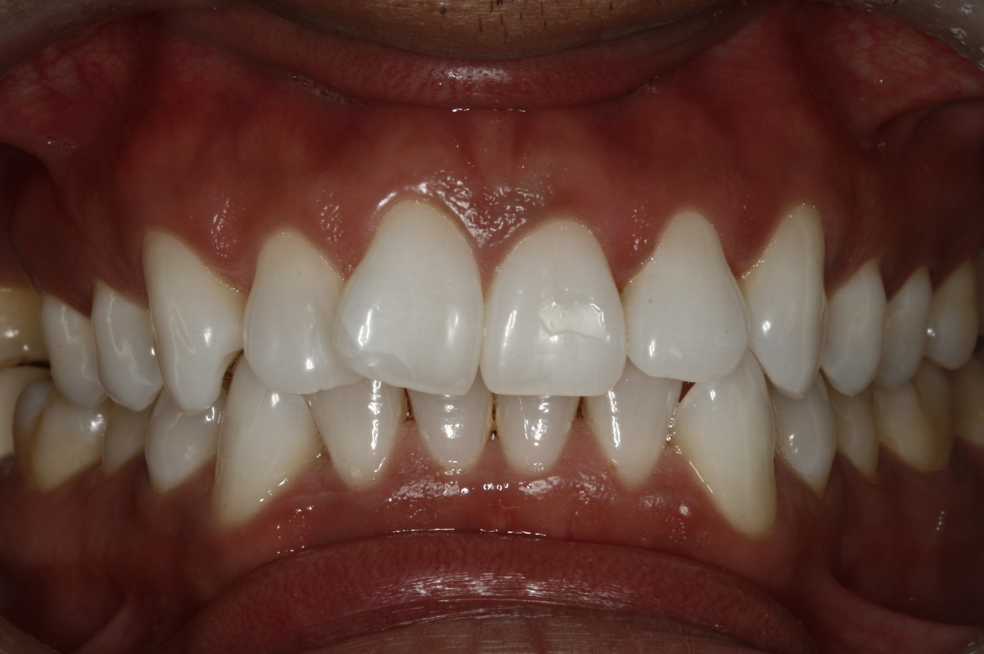
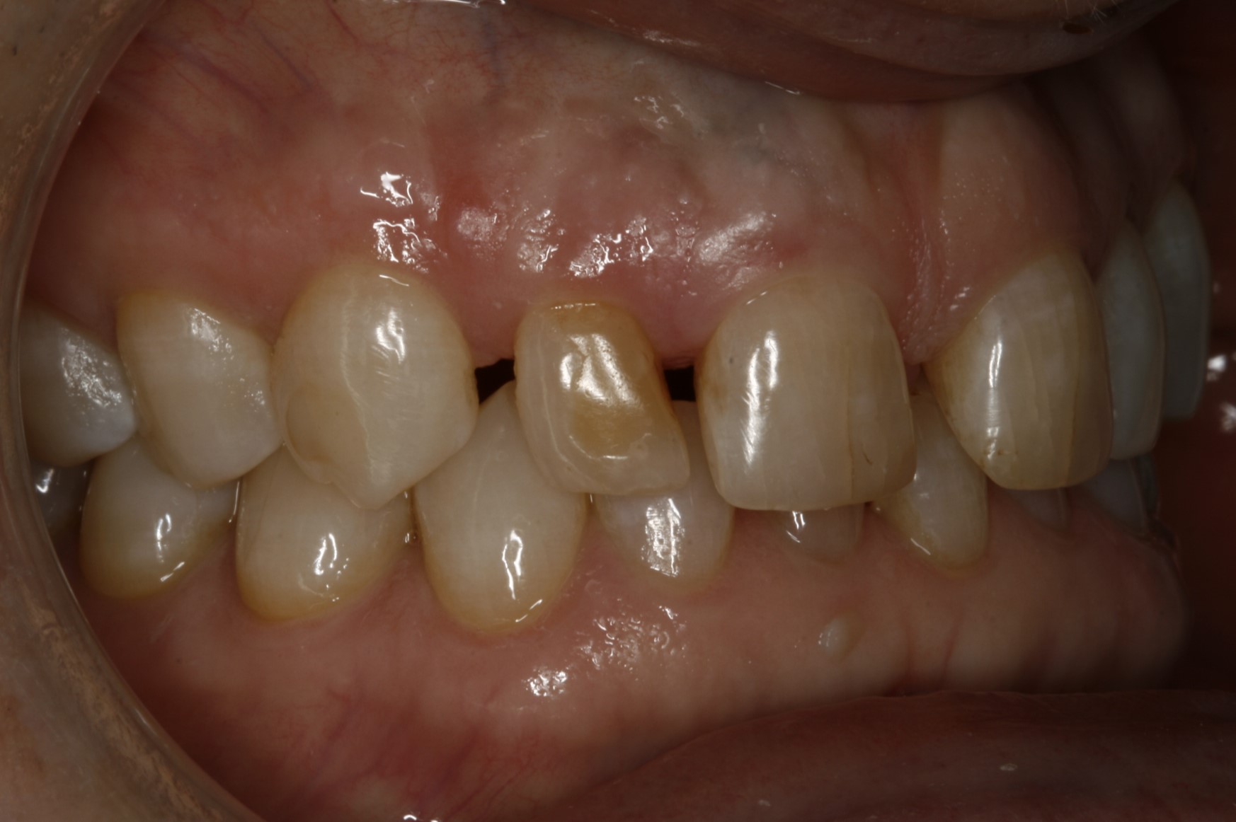
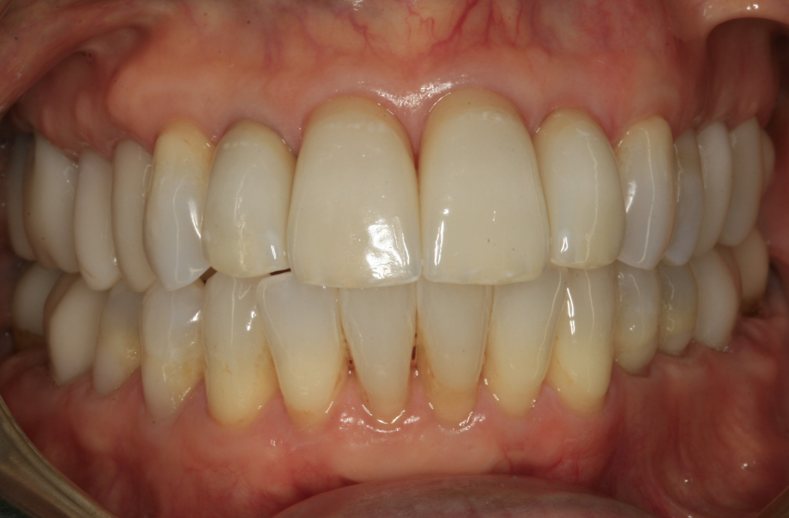
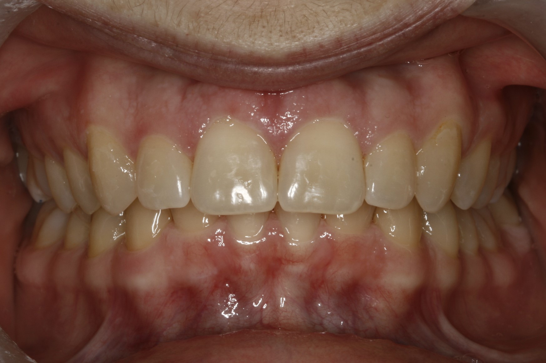
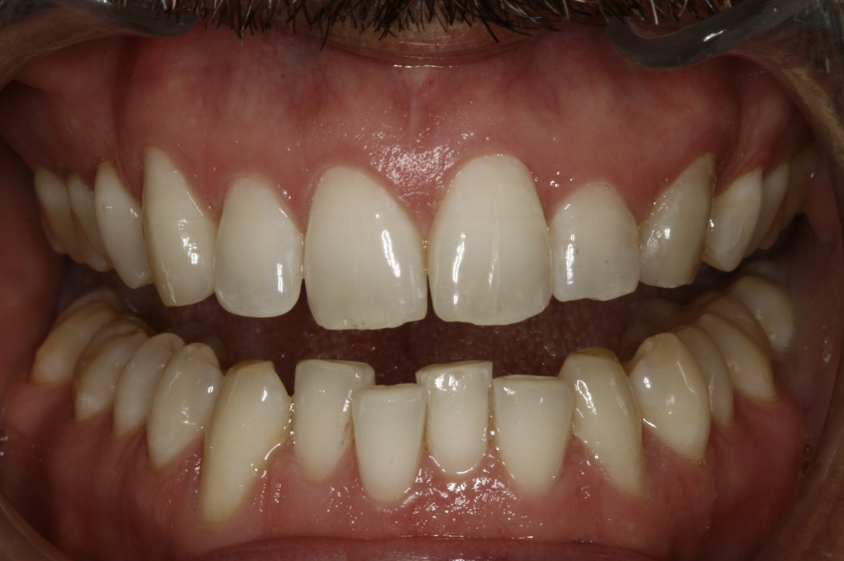
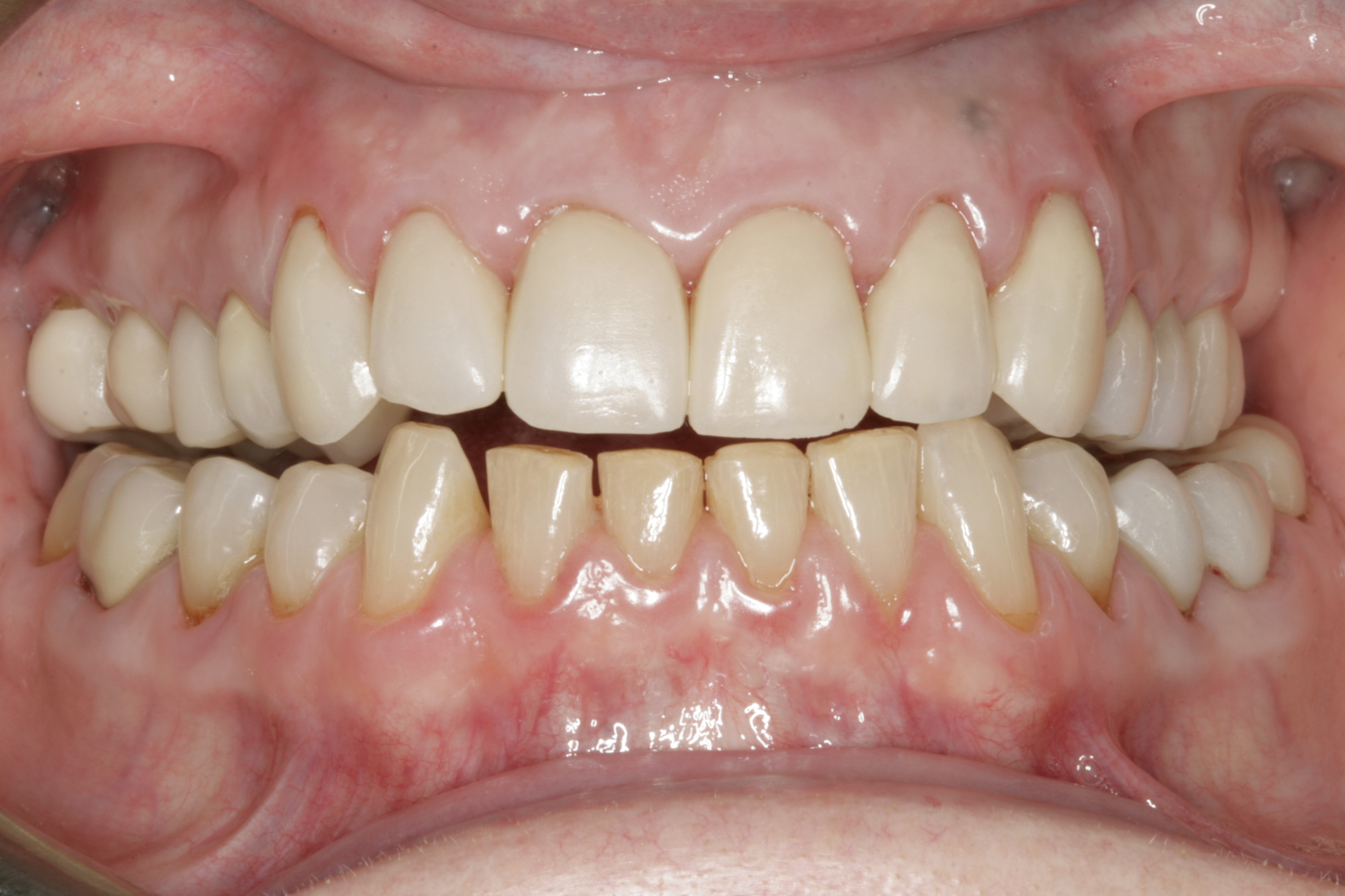
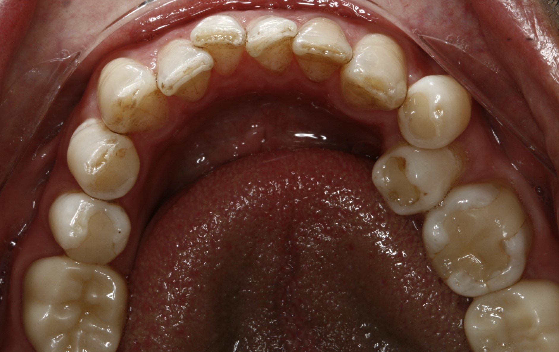
Smile Gallery
Discover Natural, Beautiful Smile Transformations
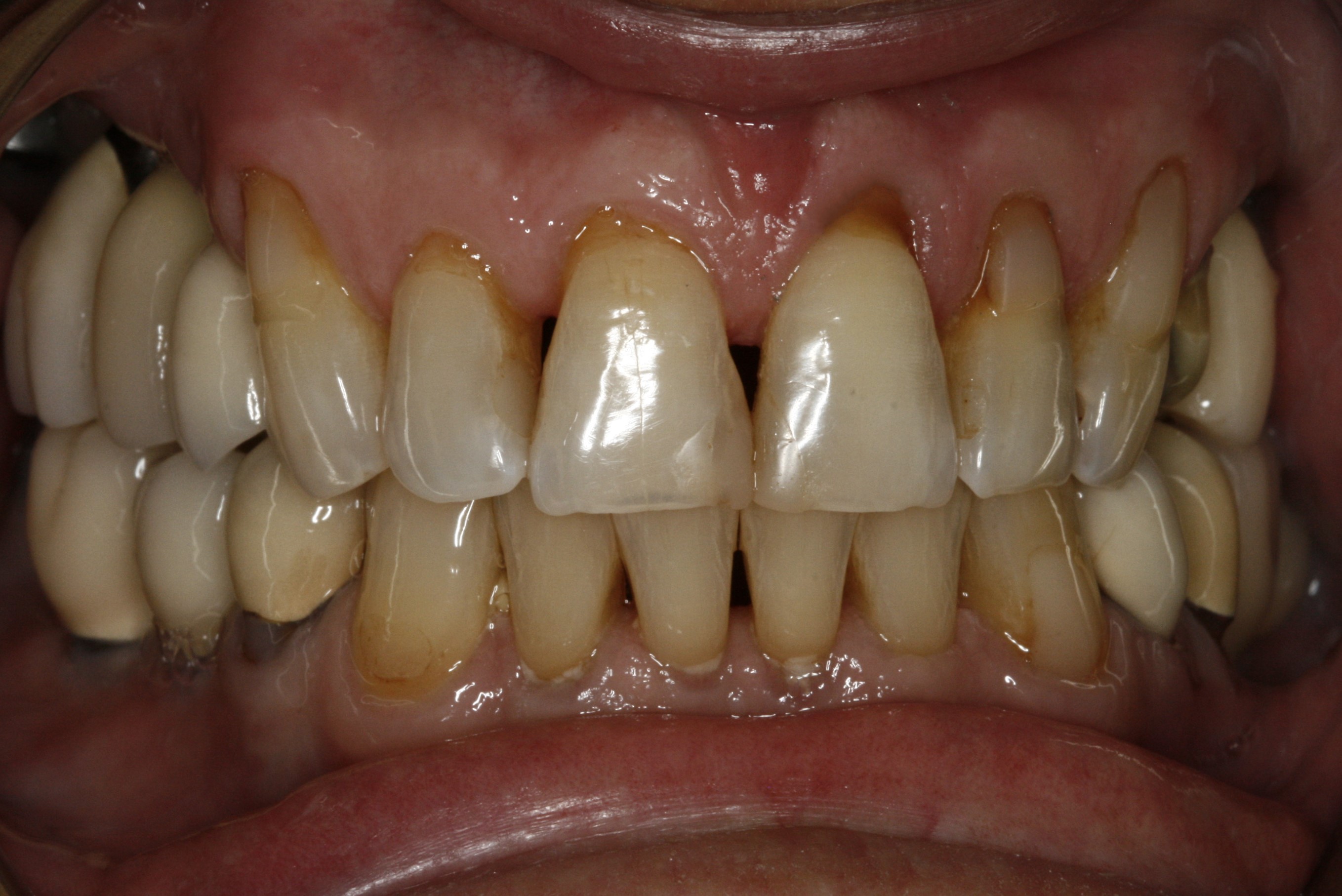
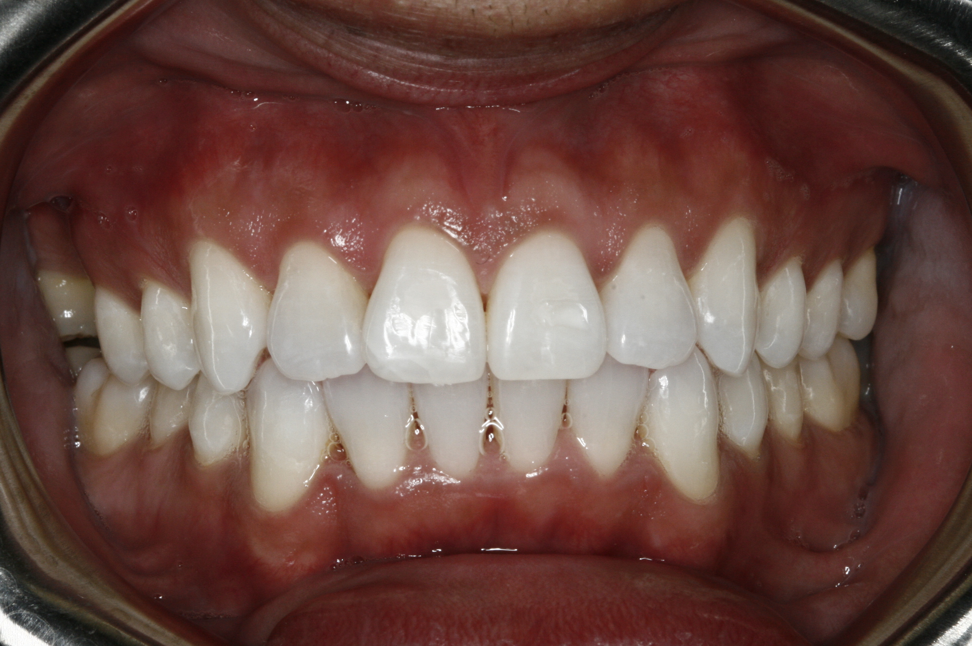
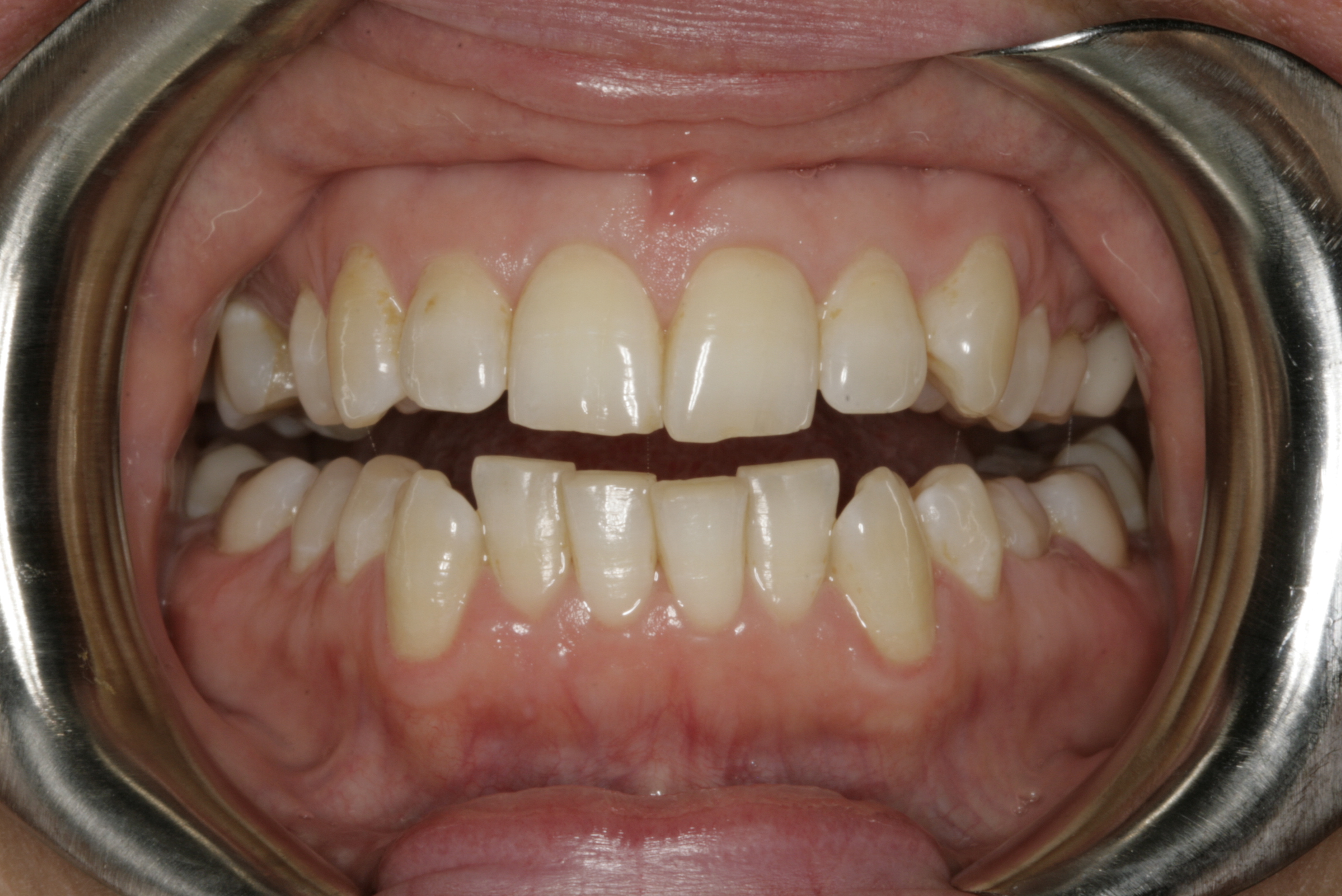
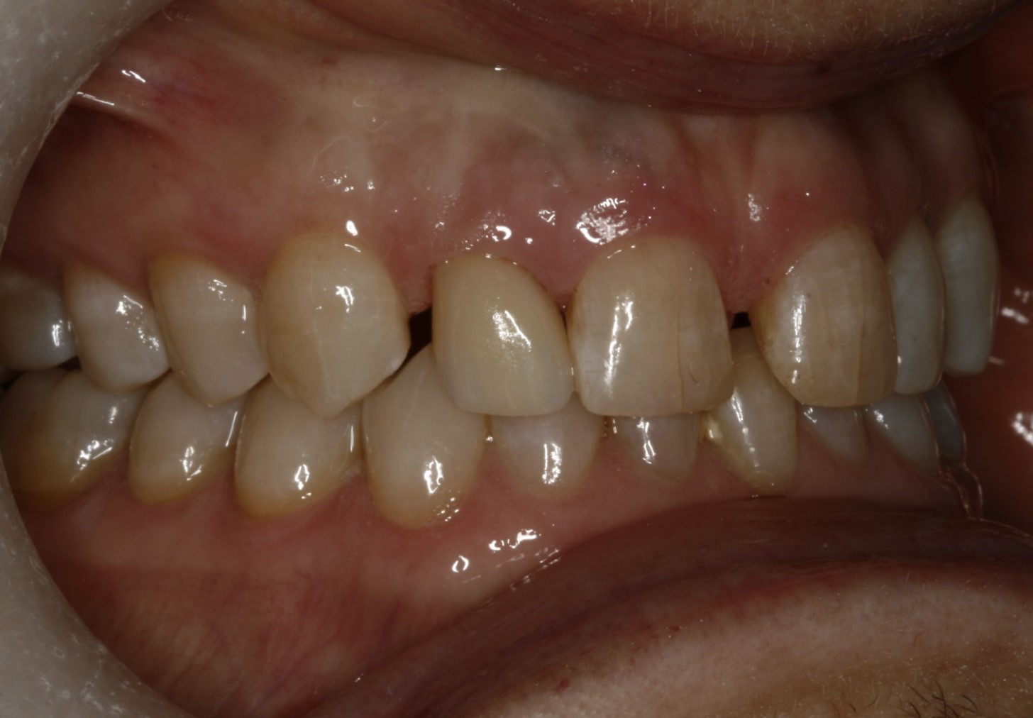
Behind every photo is a person who trusted us with their health, their confidence, and their comfort. Our smile gallery is the result of real conversations, thoughtful planning, and care that goes deeper than just the teeth.
Scroll through to see what’s possible when modern dentistry meets personalized care.























.jpg)






.jpg)











